Protect your vision
by understanding
common eye conditions
and how we treat them.
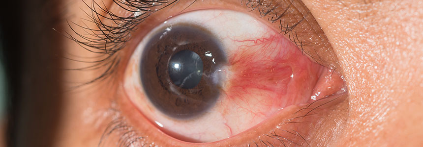
Eye Allergies
Redness, itching, and irritation caused by allergens. Can affect children and adults.
Treatment: Allergen identification and safe, effective therapy to prevent complications.
Contact: Email info@dioptaeyecare.com
or visit for allergy management.
Corneal Diseases (Keratoconus)
Thinning and bulging of the cornea causing distorted vision.
Treatment: Corneal mapping, specialized contact lenses, collagen cross-linking, INTACS, and corneal transplants.
Contact: Schedule an appointment via +256703973525.
